本方向利用基因组学技术和神经影像学技术来阐述同性恋发生的医学遗传学机制和脑神经环路机制。主要研究内容包括:
(1)利用全基因组关联分析来寻找男性同性恋的易感基因位点;
(2)进一步采用第二代高通量测序技术来精确定位男性同性恋的易感基因;
(3)利用哺乳动物深入验证易感基因的功能;
(4)研究同性恋大脑结构特征与性取向的相关性;
(5)研究同性恋静息态脑功能特征与性取向的相关性;
(6)研究同性恋神经网络及神经环路的特征性。
我们已经启动了全基因组关联研究(GWAS)来探索性分析男性同性恋的遗传学基础。第一阶段,中国560例男性同性恋及1310例男性异性恋DNA样本,选用Illumina公司的HumanOmniZhouhua-8BeadChip芯片。初步分析显示:GWAS研究第一阶段研究发现X染色体上有数个SNP位点与男性同性恋取向有关联(图1)。

图1:X染色体Manhattan Plot分析结果
Manhattan Plot的分析结果提示:X染色体上一些染色体区域与男性同性恋取向这一表型关联。目前,第二阶段采用950个男性同性恋和1100个男性异性恋进行基因型验证,该工作目前基本完成,正进行两阶段数据的综合分析。
在神经影像学方面,我们已经针对男性同性恋者和男性异性恋者的3D结构数据进行了实验分析,结果显示:男性同性恋组的双侧额叶、右海马、左枕中回、右缘上回、左额中回的灰质体积要比男性异性恋组大;而男性同性恋组的左顶下回、右中央后回灰质体积比男性异性恋组要小(表1);右中央后回的灰质体积与金赛量表评分存在负相关(图2),左杏仁核的灰质体积与金赛量表评分存在正相关倾向(图3)。3D结构的显示了男性同性恋与男性异性恋组存在结构的差异性,右中央后回及左杏仁核的灰质体积与同性恋性取向相关。但是需要进一步扩大样本来阐明男性同性恋的脑体积的特征性。
表1 男性同性恋组与男性异性恋组大脑灰质体积的比较(p < 0.001)


图2. 男性同性恋组右中央后回灰质体积与金赛量表评分的相关分析图
(r= - 0.3715, p < 0.05), 大脑体积单位:ml

图3. 男性同性恋组左杏仁核灰质体积与金赛
量表的相关分析(r = 0.3087,p = 0.0969),大脑体积单位:ml
我们对男性同性恋与男性异性恋的性唤起与性厌恶的相应脑区激活模式进行研究(图4),发现:①在相同程度的性唤起状态下,男性同性恋组出现左角回、左尾状核和右苍白球的激活,而男性异性恋组则无这些脑区的激活(图5);相反,男性异性恋组包括了舌回、右海马和右海马旁回的激活,而男性同性恋组则无类似激活现象(图6)。②在相同程度的性厌恶状态下,男性同性恋组的左额中回的激活比男性异性恋组要强(图7);男性异性恋组的左楔叶的激活比男性同性恋组要强(图8)。ROI分析:男性同性恋组左额中回的激活强度与被试者的厌恶程度呈负相关(p < 0.05)。

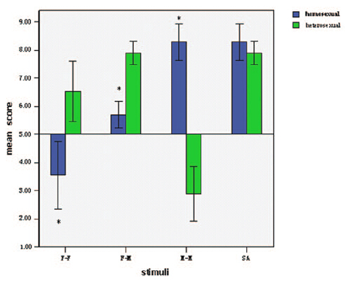
图4. 男性同性恋者(蓝色)与男性异性恋者(绿色)对女性同性恋之间(F-F)、男性与女性(F-M)及男性同性恋之间(M-M)的性刺激的情绪评分图。(注:情绪评分>5分为正性情绪;情绪评分<5分为负性情绪,5分为中性情绪)

图5. 男性同性恋组(上列)与男性异性恋组(下列)性唤起状态下激活存在差异的脑区:A 左角回;B 左尾状核 C 右苍白球。男性同性恋组在以上脑区存在明显激活,而男性异性恋组则无。

图6. 男性异性恋组(上列)与男性同性恋(下列)性唤起状态下激活存在差异的脑区:A 左角回;B右舌回;C 右海马;D右海马旁回。男性异性恋组在以上脑区存在明显激活,而男性同性恋组则无。

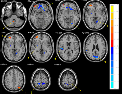
我们针对男性同性恋及男性异性恋者的静息态MRI数据进行了研究,发现:①男性同性恋组在静息态下ReHo显著增高的脑区有左直回、双侧中脑、左颞叶,ReHo显著下降的脑区有左枕下回、右枕中回、右枕上回、左楔叶和右楔前叶(图9)。男性同性恋组中ReHo与金赛量表评分显著正相关的脑区有左枕下回、左小脑、左中央前回、右中央后回,显著负相关的脑区有左运动上回和右顶上回(图10)。②采用低频振幅比例(fALFF)来比较男性同性恋与男性异性恋的静息态脑功能特征,发现:男性同性恋组静息态fALFF较强的脑区有右额中回、右小脑前叶,fALFF较弱的脑区有左中央后回、左舌回、右苍白球、右中央后回、左顶下回、右颞上回、左楔叶、左额下回(图11);左中央后回、左楔叶的fALFF与同性恋性取向呈正相关;而左枕下回、右颞下回、右小脑后叶的fALFF与同性恋性取向呈负相关(图12)。


图11. 男性同性恋与男性异性恋fALFF比较图(p < 0.01, corrected)。暖色和冷色分别表示男性同性恋对比男性异性恋fALFF增高和降低的脑区。指出的脑区分别为:(a)右小脑前叶;(b)左额下回;(c & d)左舌回;(e)右额中回;(f)右苍白球;(g)右颞上回;(h)左楔叶;(i)左顶下回;(j)右中央后回;(k)左中央后回

图12. 男性同性恋组静息状态下低频振幅比率(fALFF)与金赛量表评分相关的脑区(相关分析,p < 0.01, corrected)。暖色和冷色分别表示正相关和负相关。指出的脑区分别为:(A)左中央后回;(B)右颞下回;(C)左楔叶;(D)左枕下回;(E)有小脑后叶。
拟进一步开展:
(1) 将继续利用MRI成像技术,以及其他新型的脑功能成像技术,如近红外线脑功能成像、正电子发射断层成像(PET)及电生理技术,探索性研究同性恋的脑结构和功能特征,帮助解释同性恋形成的神经结构和功能基础,有助于帮助揭示人类性分化多态性的神经机制。
(2) 针对发现的易感基因,采用影像遗传学技术,研究不同基因型对大脑结构和功能表型的影响,建立同性恋形成的从基因型到内表型特征,再到外表型的初步机制理论。